Snelle orthodontie in combinatie met kaakchirurgie

 

Onze tanden en kiezen zijn gehuisvest in een onderkaak en een bovenkaak.

Om onder- en boventanden en kiezen mooi op elkaar te laten passen zullen de onderkaak en bovenkaak recht boven elkaar moeten staan. Wanneer bv de onderkaak terug ligt zullen de gebitselementen niet optimaal op elkaar passen.

Sommige mensen hebben dat en dan is orthodontie alleen soms niet genoeg.

Dan is het mogelijk om dmv een kaakoperatie de onder- en bovenkaak te corrigeren zodat deze recht boven elkaar komen te staan.
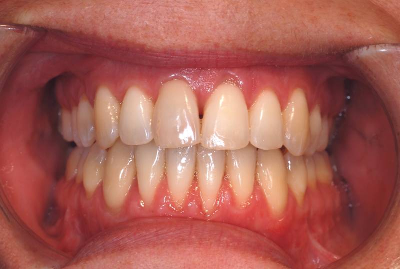
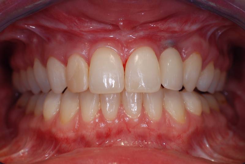
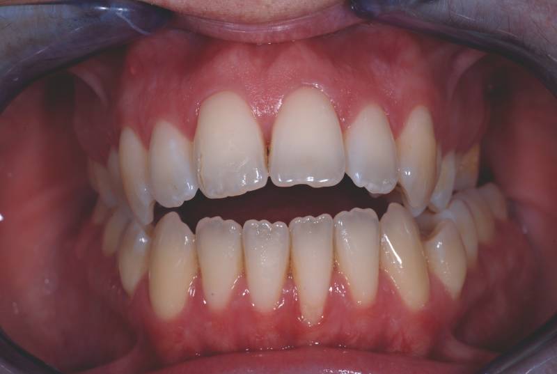
Bij de volgende voorbeelden staat de onderkaak te ver naar achteren. De kaakchirurg heeft de onderkaak naar voren verplaatst. Daardoor passen niet alleen de tanden en kiezen goed op elkaar maar wordt ook het profiel verbeterd.

 

Voorbeelden:

Casus 1

 Voor:                                                                                                                        Na:

 

Casus 2

 Voor:                                                                                                                        Na:

 Casus 3
 Voor:                                                                         Na: