Implantaten
Wanneer een tand of kies verloren is gegaan kan je deze vervangen door een implantaat. Het implantaat kan je zien als een kunstwortel. Na het plaatsen moet het implantaat vastgroeien in het bot. Wanneer het implantaat vastgegroeid is kan er een kroon op gemaakt worden. In sommige gevallen is het mogelijk het implantaat direct na plaatsing te voorzien van een noodkroon. Dan loop je niet enige tijd met een ‘gat’. Soms als er te weinig bot is is het nodig kunstbot aan te brengen om de kaak de goede vorm te geven en het implantaat te ondersteunen.
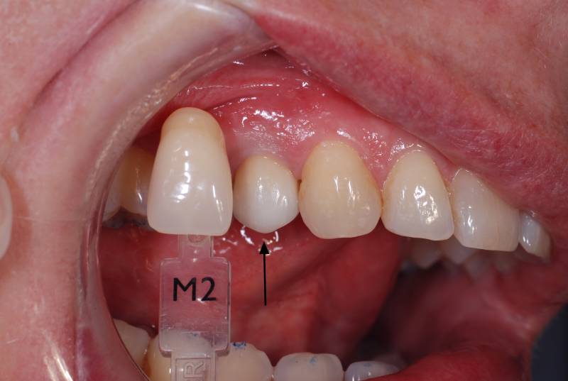
Voorbeelden:
Verloren gegane hoektand vervangen door een implantaat met kroon



Een kleine kies achter de hoektand is vervangen door een implantaat met daarop een kroon

